Cisto No Ombro Pode Ser Câncer? Quando Se Preocupar
Veja quais sintomas exigem investigação para saber se cisto no ombro pode ser câncer e como a imagem ajuda a descartar tumores.
A dúvida se cisto no ombro pode ser câncer aparece com frequência no consultório, principalmente quando o paciente percebe um caroço, sente uma dor que não melhora ou nota fraqueza para elevar o braço.
A maior parte dos cistos do ombro é benigna e está ligada a alterações mecânicas dentro da articulação, como lesões do lábio glenoidal (labrum) ou do manguito rotador.
Mesmo assim, qualquer aumento de volume que cresce, muda de aspecto ou vem acompanhado de sinais atípicos merece avaliação criteriosa.
O objetivo aqui é explicar o que costuma ser um cisto no ombro, quais situações levantam alerta e como o ortopedista diferencia um cisto benigno de outras condições, incluindo tumores.
O que é um cisto no ombro
Em termos práticos, “cisto” é uma formação com conteúdo líquido (ou gelatinoso) que surge perto de estruturas articulares e tendíneas. No ombro, os mais vistos são:
- Cistos paralabrais: aparecem ao lado do labrum e muitas vezes estão associados a alguma fissura ou ruptura dessa estrutura.
- Cistos periarticulares: ficam ao redor da articulação e podem ser identificados com mais facilidade em exames como a ressonância magnética.
- Cistos do tipo ganglionar (mais conhecidos no punho): também podem ocorrer perto do ombro, com conteúdo espesso e cápsula bem definida.
Em vários casos, o cisto é consequência de um “vazamento” do líquido articular por uma pequena falha, formando uma bolsa próxima.
Cisto no ombro pode ser câncer?
Na maioria das vezes, não. Quando falamos em “cisto” típico do ombro, o padrão é de lesão benigna.
O que confunde muitos pacientes é que qualquer caroço assusta, e algumas lesões sólidas podem ser confundidas com cistos antes de uma avaliação completa.
O ponto-chave é este: o risco de câncer costuma ser baixo quando a lesão tem comportamento e aparência de cisto benigno nos exames e no exame físico.
A preocupação aumenta quando surgem sinais fora do esperado.
Sinais que merecem atenção mais rápida
Procure avaliação sem adiar explicaçōes se houver:
- Crescimento progressivo em pouco tempo.
- Dor intensa em repouso e à noite, sem padrão mecânico.
- Perda de peso não intencional, febre persistente ou mal-estar sem motivo claro.
- Histórico pessoal de câncer, principalmente com risco de metástase óssea.
- Massa endurecida, pouco móvel, com pele aderida.
- Formigamento, queimação, fraqueza ou perda funcional que evolui.
Esses sinais não confirmam câncer por si só. Eles indicam que vale investigar com mais profundidade.
Como o ortopedista confirma se é cisto e descarta outras causas
A avaliação começa com história clínica e exame físico. Perguntas sobre início, velocidade de crescimento, traumas, esportes, trabalho e sintomas associados ajudam muito.
No exame, observamos a localização, consistência, mobilidade e relação com movimentos do ombro.
Em seguida, entram os exames:
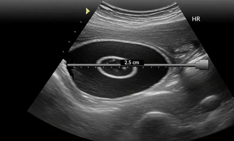
- Ultrassonografia: boa para diferenciar líquido de tecido sólido e avaliar estruturas superficiais.
- Radiografia: útil para checar ossos, calcificações e sinais indiretos de outras doenças.
- Ressonância magnética: é o exame mais completo para ver labrum, manguito, cistos paralabrais e possíveis compressões nervosas.
Em casos selecionados, quando há dúvida diagnóstica, pode ser necessário punção (para análise do conteúdo) ou biópsia, que é definido pelo contexto clínico e pelos achados dos exames.
Uma frase que digo com frequência aos meus pacientes: o diagnóstico certo começa com médico com foco em ombro e cotovelo.
Quando o cisto causa sintomas de nervo
Um cisto grande, principalmente em posição posterior, pode comprimir o nervo supraescapular, gerando dor na região da escápula, sensação de queimação e fraqueza.
Em quadros mais prolongados, pode ocorrer perda de força em músculos específicos do ombro, com impacto no desempenho esportivo e nas tarefas do dia a dia.
Quando isso acontece, não basta “acompanhar o caroço”. A prioridade passa a ser investigar a causa de base (muitas vezes uma lesão do labrum) e tratar o que está gerando o cisto.
Tratamento: quando observar e quando intervir
A conduta depende de três pontos: sintomas, tamanho/localização e causa associada.
Acompanhamento clínico
Indicado quando o cisto é pequeno, tem aspecto benigno, não cresce rapidamente e não causa dor ou limitação relevante. Aqui, o foco é monitorar e ajustar carga, treino e reabilitação.
Medidas conservadoras
Podem incluir fisioterapia direcionada, correção de padrão de movimento, controle de inflamação e fortalecimento do manguito e estabilizadores da escápula.
Procedimentos e cirurgia
Quando há compressão nervosa, dor persistente, recidivas importantes ou lesão associada (como ruptura do labrum), a solução pode envolver tratamento artroscópico da causa, com abordagem do cisto quando indicado.
A decisão é individual e deve considerar exame físico, imagem e objetivos do paciente.
O que você pode fazer antes da consulta
- Anote quando o caroço apareceu e se mudou de tamanho.
- Observe se a dor tem relação com atividade ou aparece em repouso.
- Registre episódios de formigamento, fraqueza ou perda de movimento.
- Leve exames prévios do ombro, se tiver.
Isso melhora a precisão da avaliação e encurta o caminho até a conduta correta.
FAQs
1) Cisto no ombro pode ser câncer sempre que dói?
Não. Dor é comum em problemas mecânicos do ombro. O que define risco é o conjunto: evolução, exame físico e imagem.
2) Cisto paralabral tem ligação com lesão do labrum?
Sim, com frequência. O cisto pode ser um sinal indireto de fissura ou ruptura do labrum.
3) Cisto no ombro some sozinho?
Pode reduzir ou variar de tamanho, principalmente se a causa de base estiver controlada. Nem sempre desaparece sem tratamento.
4) Quando precisa de biópsia?
Quando o aspecto não é típico de cisto benigno, quando há sinais de alerta ou quando a imagem não permite definir com segurança.
5) A ressonância é sempre necessária?
Nem sempre. Em alguns casos, ultrassom e exame clínico já esclarecem. A ressonância ganha valor quando há suspeita de lesão interna ou compressão nervosa.



