Como Saber Se Desloquei O Cotovelo
Entenda como saber se desloquei o cotovelo, sinais de alerta, diagnóstico por imagem e cuidados imediatos.
Cair, sentir uma dor muito forte e perceber que o cotovelo “mudou de lugar” deixa a seguinte dúvida: como saber se desloquei o cotovelo?
Esse tipo de lesão aparece quando o encaixe do cotovelo se perde. Úmero, rádio e ulna deixam de trabalhar alinhados e a articulação passa a ficar fora da posição esperada.
A preocupação não é só a dor. O cotovelo é uma região com estruturas delicadas ao redor, como nervos e vasos, e também é uma articulação que tende a ficar rígida se o atendimento demora.
Quando a avaliação é adiada, aumenta o risco de rigidez e de complicações no movimento e na sensibilidade. Quando a avaliação demora, cresce a chance de rigidez e de outras complicações.
Na prática, existem sinais bem característicos que ajudam a suspeitar do problema, mas a confirmação depende de exame físico e imagem, como radiografia.
O que é luxação do cotovelo e por que acontece
A luxação do cotovelo aparece com mais frequência depois de uma queda em que a pessoa tenta se proteger apoiando a mão no chão, muitas vezes com o braço estendido.
O impacto pode forçar o encaixe da articulação, fazendo o rádio e ulna perderem a posição correta em relação ao úmero, o que tira o cotovelo do lugar.
Em parte dos casos, o quadro não vem “sozinho”. Pode existir fratura associada ou lesão de ligamentos, e isso muda o tipo de imobilização, o tempo de recuperação e até a necessidade de procedimentos.
Esportes, quedas de bicicleta, traumas em modalidades de contato e acidentes domésticos estão entre os cenários mais comuns.
Como saber se desloquei o cotovelo? Principais sinais
Alguns achados são muito sugestivos, principalmente quando aparecem logo após o trauma.
Dor forte e imediata
A dor no cotovelo tende a ser intensa, súbita e piora com qualquer tentativa de mexer o braço. Muitas pessoas relatam incapacidade de manter o cotovelo em uma posição confortável.
Deformidade visível
Um dos pontos mais marcantes é o aspecto “torto” do cotovelo, com mudança no contorno normal da articulação.
Esse sinal tem grande valor clínico, sobretudo quando existe comparação com o outro lado.
Inchaço rápido e limitação importante
O cotovelo costuma inchar em pouco tempo. A movimentação fica muito limitada, tanto para dobrar e esticar quanto para girar o antebraço.
Sensação de instabilidade
Alguns pacientes descrevem que o cotovelo “não firma” ou parece que “vai sair do lugar” quando tentam mover.
Formigamento, dormência ou fraqueza na mão
Esse ponto é crítico. O cotovelo passa perto de nervos importantes (como o ulnar).
Portanto, dormência no dedo mínimo e anelar, perda de força, dificuldade para estender os dedos ou sensação de choque são sinais de alerta.
Alteração de cor e temperatura da mão
Mão fria, pálida, arroxeada ou com pulso mais fraco são sinais que exigem avaliação imediata, porque podem indicar comprometimento vascular.
Luxação ou fratura: como diferenciar na prática
Sem imagem, não dá para ter certeza. Dor intensa, inchaço e limitação podem aparecer nas duas situações.
A deformidade é mais comum na luxação, mas fraturas também podem deformar, principalmente quando há desvio.
O ponto importante é que luxação e fratura podem coexistir. Por isso, a conduta segura é tratar como lesão grave até prova em contrário e buscar avaliação médica.
O que fazer na hora e o que evitar
Se você suspeita que seu cotovelo deslocou, a prioridade é proteger a articulação e reduzir riscos.
O que fazer
- Imobilize o braço na posição em que estiver mais confortável, sem forçar.
- Use compressa fria por curtos períodos para ajudar no controle do inchaço.
- Procure atendimento de urgência para avaliação e radiografia.
O que evitar
- Não tente “colocar no lugar”.
- Evite tracionar, girar ou testar movimentos.
- Não massageie a articulação machucada.
- Não adie a avaliação se houver dormência, mão fria ou mudança de cor.
Em cenários com dor intensa, deformidade ou sintomas neurológicos, o ideal é consultar um médico ortopedista referência em lesões do cotovelo para condução adequada, reduzir riscos e orientar reabilitação.
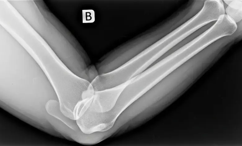
Como é feito o diagnóstico
O diagnóstico combina:
- Exame físico, avaliando deformidade, estabilidade, dor localizada e função nervosa/vascular.
- Radiografia, essencial para confirmar o quadro e pesquisar fraturas associadas.
- Tomografia em casos selecionados, principalmente quando há suspeita de fraturas pequenas ou para planejamento terapêutico.
- Ressonância pode ser útil quando o foco é avaliar ligamentos e estruturas moles, geralmente após a fase aguda.
Tratamento
Em muitos quadros simples, a conduta envolve redução (realinhamento) feita por profissional habilitado, seguida de imobilização por período curto e reabilitação precoce para evitar rigidez.
Quando existem fraturas associadas, instabilidade importante ou lesões ligamentares complexas, pode ser necessário tratamento cirúrgico.
A recuperação depende do tipo de luxação, do tempo até o atendimento e da reabilitação.



