Condromatose Sinovial Do Cotovelo: O Que É
Veja causas, exames indicados e como é a recuperação de condromatose sinovial do cotovelo.
A condromatose sinovial do cotovelo ocorre quando a sinóvia, tecido que reveste internamente a articulação, sofre uma alteração e passa a gerar pequenas formações de cartilagem.
Com o passar do tempo, parte desse material pode se soltar e permanecer dentro do cotovelo como fragmentos soltos, circulando pela articulação.
No cotovelo, o quadro costuma atrapalhar tarefas simples, como levar a mão à boca, vestir uma camisa, apoiar o braço ou manter o membro em certas posições por muito tempo.
O problema pode aparecer em adultos de meia-idade, mas não é exclusivo dessa faixa. Em alguns casos, surge sem causa clara; em outros, se relaciona a desgaste articular ou histórico de trauma.
O que acontece dentro da articulação
A articulação do cotovelo tem compartimentos e estruturas que funcionam como “trilhos” para o movimento. Quando há corpos livres circulando, eles podem:
- Irritar a sinóvia e aumentar a produção de líquido articular.
- Ocupar espaço e limitar a amplitude de movimento.
- Causar bloqueios mecânicos intermitentes.
- Acelerar o desgaste da cartilagem articular em casos selecionados.
Esse mecanismo explica por que alguns pacientes descrevem dias de desconforto leve e, em outros momentos, crises com travamento súbito.
Principais sinais e sintomas de condromatose sinovial do cotovelo
Os sintomas variam de acordo com a quantidade, o tamanho e a localização dos corpos livres. Os mais comuns são:
- Dor no cotovelo, pior em atividades de força ou repetição.
- Sensação de “areia” na articulação, com estalos durante a movimentação.
- Travamento ou bloqueio, com dificuldade de estender ou dobrar totalmente.
- Redução progressiva da mobilidade.
- Inchaço articular em fases de maior inflamação.
Quando a limitação de movimento aumenta, o corpo tende a compensar com ombro e punho, o que pode gerar dores secundárias.
Causas e tipos: primária e secundária
A condromatose pode ser classificada em:
- Primária: Ocorre por metaplasia sinovial (a sinóvia passa a produzir cartilagem). Costuma apresentar múltiplos nódulos e pode recidivar, exigindo seguimento.
- Secundária: Relacionada a outra condição do cotovelo, como artrose, lesões antigas, instabilidade, osteocondrite ou trauma. Nessa situação, os corpos livres são consequência de um processo já existente na articulação.
Saber se o quadro é primário ou secundário ajuda a definir a estratégia terapêutica e o risco de retorno dos sintomas.
Como é feito o diagnóstico
O diagnóstico combina história clínica, exame físico e imagem. O médico avalia pontos-chave: dor à palpação, limitação de amplitude, crepitação, travamentos e sinais de derrame articular.
Exames mais usados:
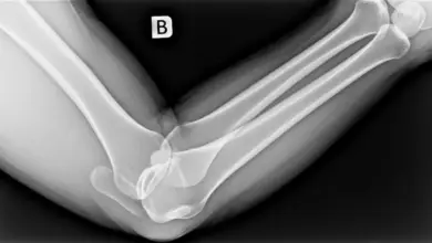
- Radiografia: identifica corpos livres calcificados e sinais de artrose.
- Ressonância magnética: mostra nódulos cartilaginosos ainda não calcificados, além do estado da sinóvia e da cartilagem.
- Tomografia: detalha melhor a quantidade e a posição dos corpos livres, útil para planejamento cirúrgico.
- Ultrassom: pode auxiliar em casos selecionados, dependendo da experiência do examinador.
Em suspeita persistente, vale consultar um médico ortopedista referência em patologias do cotovelo, já que a conduta depende muito do padrão de acometimento e do impacto funcional.
Tratamento
O tratamento é individualizado e considera a intensidade dos sintomas, travamentos, perda de movimento, nível de atividade e achados de imagem.
Medidas conservadoras
Podem ser indicadas quando os sintomas são leves e não há bloqueio mecânico relevante:
- Adaptação de atividades e redução temporária de sobrecarga.
- Analgésicos e anti-inflamatórios, quando apropriado e com orientação.
- Fisioterapia voltada à mobilidade, controle inflamatório e função.
- Ajustes ergonômicos no trabalho e no treino.
Esse caminho tende a aliviar a dor e inflamação, mas costuma ter resultado limitado quando existem muitos corpos livres causando bloqueio.
Tratamento cirúrgico
Indicado com maior frequência quando há travamentos, dor persistente, limitação progressiva ou grande quantidade de corpos livres. A cirurgia pode ser feita por:
- Artroscopia do cotovelo: abordagem minimamente invasiva para retirada de corpos livres e sinovectomia (remoção parcial da sinóvia doente) em casos selecionados
- Cirurgia aberta: útil quando há corpos livres grandes, localização difícil ou necessidade de tratar alterações ósseas associadas
O objetivo é reduzir o conflito mecânico, melhorar a mobilidade e diminuir a inflamação sinovial.
Recuperação e reabilitação
A reabilitação é parte central do resultado. Em geral, o plano inclui:
- Mobilização precoce guiada para evitar rigidez.
- Fortalecimento progressivo de flexores, extensores e estabilizadores.
- Retorno gradual a esporte e trabalho, com metas funcionais.
- Cuidado com dor e edema no pós-operatório inicial.
A rigidez do cotovelo pode ser um desafio, então o acompanhamento fisioterapêutico tende a ser bem direcionado e consistente.
Prognóstico e risco de recidiva
Muitos pacientes evoluem com melhora significativa de dor e função após o tratamento adequado.
A recidiva é mais discutida na forma primária, principalmente se a sinóvia doente permanece ativa. Na forma secundária, controlar o fator de base, por exemplo, artrose, influencia bastante a evolução.
Sinais de alerta para reavaliação: retorno de travamentos, perda de movimento que progride, dor noturna persistente ou inchaço recorrente.
FAQs
Condromatose sinovial do cotovelo é uma doença grave?
Não costuma ser considerada grave, mas pode causar dor persistente, travamentos e limitação importante do movimento. O impacto depende da quantidade de corpos livres e do estado da articulação.
Quais são os principais sintomas da condromatose no cotovelo?
Os sintomas mais comuns incluem dor no cotovelo, estalos ao movimentar, sensação de bloqueio articular, perda de amplitude de movimento e episódios de inchaço.
Quais exames ajudam a confirmar o diagnóstico?
Radiografia identifica corpos livres calcificados. Ressonância magnética e tomografia mostram lesões ainda não calcificadas e ajudam no planejamento do tratamento.
Quando a cirurgia é indicada para condromatose sinovial do cotovelo?
A cirurgia costuma ser indicada quando há travamentos frequentes, dor que não melhora com tratamento clínico ou perda progressiva de mobilidade do cotovelo.
A condromatose sinovial do cotovelo pode voltar após o tratamento?
Em alguns casos, principalmente na forma primária, pode ocorrer recidiva. O acompanhamento clínico ajuda a identificar precocemente qualquer novo sintoma.



