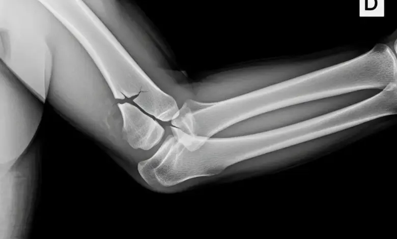
Fratura da cabeça do rádio: sintomas, exame e tratamento
Dor no lado de fora do cotovelo após queda pode ser fratura da cabeça do rádio. Veja como diagnosticar e tratar com segurança.
A fratura da cabeça do rádio está entre as lesões mais comuns do cotovelo no adulto. O cenário típico é a queda com a mão no chão, tentando se apoiar, com o braço esticado.
Quando o diagnóstico atrasa ou quando a imobilização é mantida por tempo demais, a rigidez vira um problema real.
Saber o que observar e qual exame pedir faz diferença para recuperar o movimento e voltar às atividades com segurança.
O que é a cabeça do rádio e por que ela é tão importante
O rádio é um dos dois ossos do antebraço (rádio e ulna). A “cabeça do rádio” é a extremidade superior dele, perto do cotovelo.
Ela participa do movimento de flexão e extensão do cotovelo, só que o papel mais conhecido é ajudar na rotação do antebraço (pronação e supinação), que é o giro que muda a posição da palma da mão para cima ou para baixo.
Também existe um papel de estabilidade. Em situações de estresse em valgo (força que “abre” a parte interna do cotovelo), instabilidades ligamentares ou traumas mais fortes, a cabeça do rádio funciona como um estabilizador secundário.
Como a fratura da cabeça do rádio acontece
O mecanismo típico é a queda com a mão no chão e o cotovelo em extensão. A força “sobe” pelo antebraço e impacta a cabeça do rádio contra o osso do braço, perto do capítulo umeral.
Em quedas da própria altura, é comum haver fraturas com pouco desvio. Em esportes de contato, bicicleta, moto e acidentes de maior energia, aumentam as chances de fraturas mais desviadas e de lesões associadas.
Quando a fratura da cabeça do rádio ocorre junto com luxação do cotovelo e fratura do processo coronóide da ulna, o quadro recebe o nome de tríade terrível.
Não é um termo dramático por acaso, porque costuma gerar instabilidade importante e, na maioria das vezes, exige abordagem cirúrgica e reabilitação bem conduzida.
Sinais e sintomas que levantam suspeita
Os sintomas variam com o grau de desvio e com as lesões associadas, só que existem sinais bem característicos:
- Dor no lado de fora do cotovelo após queda.
- Dor para girar a mão (pronação e supinação).
- Inchaço e sensação de “cotovelo cheio”.
- Dificuldade para estender totalmente o cotovelo.
- Desconforto para apoiar o peso do corpo no braço.
- Em casos mais graves, sensação de instabilidade.
Um detalhe importante: existe a fratura oculta. É quando não aparece traço claro no raio-x, mas a pessoa tem dor típica e limitação.
Nesses casos, o diagnóstico depende de boa avaliação clínica com médico expert em lesões do cotovelo e, muitas vezes, de exames complementares.
Como é feito o diagnóstico
O diagnóstico começa no exame físico. O médico procura dor localizada na cabeça do rádio, avalia edema e testa a rotação do antebraço.
Também verifica se existe bloqueio mecânico, que é quando um fragmento ou irregularidade impede o giro, mesmo com tentativa passiva. Esse achado muda o caminho do tratamento.
As radiografias em incidência anteroposterior e perfil costumam ser o primeiro exame. Só que, em fraturas sem desvio, o traço pode não aparecer.
Quando existe dúvida sobre quantidade de fragmentos, grau de desvio e planejamento cirúrgico, a tomografia costuma ser o exame mais útil.
Já a ressonância entra quando há suspeita forte de fratura oculta, quando o quadro clínico é típico e o raio-x não explica, ou quando se quer avaliar lesões ligamentares e cartilaginosas.
Tratamento conservador: quando é possível evitar a cirurgia
A maioria dos casos pode ser tratada sem cirurgia quando não há desvio relevante, não existe bloqueio mecânico e o cotovelo está estável.
O foco é reduzir o tempo de imobilização e iniciar a mobilização precoce, respeitando a dor.
- Uso de tipoia para conforto nos primeiros dias.
- Imobilização curta (quando necessária), geralmente por 1 a 2 semanas nos casos com dor mais intensa.
- Exercícios de amplitude de movimento assim que tolerável.
- Fisioterapia precoce para recuperar extensão e rotação.
- Reavaliações para garantir que não há piora da estabilidade.
Tratamento cirúrgico: quando é indicado
A cirurgia é considerada quando existe:
- Desvio significativo.
- Múltiplos fragmentos.
- Fratura do colo do rádio com desconexão da diáfise.
- Bloqueio mecânico da rotação.
- Instabilidade do cotovelo.
- Associação com outras lesões.
Opções cirúrgicas
As opções cirúrgicas variam conforme o padrão da fratura:
- Fixação com parafusos: usada quando há um ou dois fragmentos reconstrutíveis e boa chance de estabilidade.
- Placa e parafusos (ORIF): indicada em fraturas mais complexas, com necessidade de maior controle dos fragmentos.
- Artroplastia da cabeça do rádio: substituição por prótese metálica quando a fratura não é reconstruível, especialmente em instabilidades e na tríade terrível.
- Excisão de fragmento: em casos bem selecionados de fragmento pequeno que causa bloqueio e não é fixável.
Reabilitação e retorno às atividades
Reabilitação é parte do tratamento, não um “extra”. O objetivo é recuperar a extensão, flexão e, principalmente, prono-supinação.
Em geral, a fisioterapia começa cedo, com mobilização ativa e progressão gradual. Exercícios de força entram depois que há segurança do ponto de vista ósseo e da estabilidade.
O retorno ao trabalho e ao esporte depende do tipo de fratura, presença de cirurgia e demanda do paciente.
Atividades leves podem voltar em poucas semanas, já esportes com impacto e carga exigem liberação mais cautelosa.
Possíveis complicações e como reduzir o risco
A complicação mais comum é rigidez do cotovelo. Ela costuma estar ligada à dor prolongada, inflamação articular e, principalmente, imobilização excessiva.
Outra complicação possível é a ossificação heterotópica, quando há formação de osso em tecidos moles, limitando o movimento. Em fraturas graves ou instáveis, pode haver artrose pós-traumática no longo prazo.
Na artroplastia, existe o risco de “overstuffing”, quando a prótese fica alta demais e passa a limitar arco de movimento e gerar dor. Por isso, técnica adequada e controle intraoperatório são essenciais.
Se você está com dúvidas sobre qual caminho faz sentido no seu caso, vale consultar um especialista em ombro e cotovelo, principalmente quando há suspeita de lesões associadas no cotovelo e no antebraço, que mudam o plano de tratamento.
FAQs
Quanto tempo dói uma fratura da cabeça do rádio?
A dor costuma reduzir nas primeiras 2 a 3 semanas, mas o desconforto ao girar o antebraço pode durar mais. O tempo varia com o desvio e com o início da mobilização.
Se o raio-x não mostra, ainda pode ser fratura?
Sim. Existe fratura oculta, com dor típica e limitação, mas sem traço evidente no raio-x inicial. Nesses casos, a avaliação clínica e exames como tomografia ou ressonância ajudam.
Preciso ficar com gesso sempre?
Nem sempre. Em muitos casos, uma tipoia por curto período e mobilização precoce trazem melhor resultado funcional do que imobilização prolongada.
O que indica cirurgia na fratura da cabeça do rádio?
Desvio importante, muitos fragmentos, bloqueio mecânico da rotação, instabilidade do cotovelo e lesões associadas são motivos frequentes para indicar cirurgia.
Quando consigo voltar a treinar?
Depende do tipo de fratura e da estabilidade. Exercícios leves voltam antes. Treino com carga e impacto só após liberação médica e progresso na reabilitação.
Dá para fazer acompanhamento online?
Em alguns casos, parte do seguimento pode ser online, principalmente para ajustar exercícios e orientar reabilitação. Exames e avaliação física podem ser necessários em momentos-chave.
Em Goiânia, onde buscar avaliação especializada?
Procure um ortopedista com atuação em cotovelo e trauma. Em Goiânia, a avaliação presencial ajuda a testar estabilidade e orientar o melhor plano de reabilitação.



