Fratura de olécrano: causas, sintomas e recuperação
Saiba o que é fratura de olécrano, como reconhecer os sinais, quais os tratamentos possíveis e o papel da reabilitação no cotovelo.
Uma queda simples, um tropeço em casa ou um impacto direto no cotovelo podem parecer situações comuns do dia a dia, mas em alguns casos o resultado é bem mais sério do que uma pancada passageira.
Quando o ossinho pontudo na parte de trás do cotovelo se parte, estamos diante de uma fratura de olécrano, lesão que costuma pedir avaliação rápida e um plano de cuidado bem definido.
Na sequência, vou explicar em que situações isso costuma acontecer, quais sintomas acendem o alerta, como o ortopedista investiga, quando a cirurgia entra em cena e como a reabilitação ajuda o cotovelo a recuperar o movimento e força.
O que é fratura de olécrano
Na fratura de olécrano, aquela ponta mais saliente da ulna, bem na parte de trás do cotovelo, se rompe.
Essa ponta do osso é a área da ulna que fica mais exposta dentro da articulação do cotovelo e serve de apoio para o tríceps braquial, músculo que ajuda a estender o braço.
Quando ocorre a quebra dessa estrutura, o problema não se limita ao osso: a capacidade de fazer força e mover o cotovelo com naturalidade também fica prejudicada.
A estabilidade do cotovelo e o movimento de estender o braço também ficam comprometidos, já que o tríceps perde parte do seu apoio.
Por isso, o quadro costuma ser doloroso e limita bastante as atividades do dia a dia.
Quem tem mais risco de sofrer esse tipo de fratura
No consultório, a fratura do olécrano aparece com mais frequência em adultos acima de 50 anos.
Em boa parte dos casos, ela não vem sozinha, podendo estar associada a fraturas do rádio ou até do úmero, já que o trauma muitas vezes é mais amplo na região do cotovelo.
Alguns fatores aumentam o risco:
- Idade mais avançada, com ossos mais frágeis.
- Quedas da própria altura, comuns em casa ou na rua.
- Traumas diretos em esportes de contato ou acidentes de trânsito.
- Doenças que enfraquecem o osso, como osteoporose.
Como a fratura acontece
O mecanismo clássico é o trauma direto no cotovelo. A pessoa cai e bate a região posterior do cotovelo no chão ou em uma superfície rígida, causando a quebra do olécrano.
Outro cenário possível é o apoio brusco do cotovelo durante uma queda, quando o impacto é transmitido para a articulação e para a ulna.
Esse segundo mecanismo é menos comum, mas também pode levar à fratura, principalmente se o osso já estiver fragilizado.
Sintomas
Os sinais costumam ser bem marcantes. Logo após o trauma, o paciente percebe:
- Dor intensa na região do cotovelo, que piora ao movimentar o braço.
- Inchaço visível, com aumento de volume local.
- Dificuldade ou incapacidade de estender o cotovelo.
Quando os fragmentos do osso se deslocam, o toque na região pode revelar um desnível, como se existisse um degrau onde antes o contorno era liso.
Muitos pacientes descrevem uma sensação de raspado ou de grãos de areia ao tentar mexer o cotovelo, sinal de atrito entre os pedaços da fratura.
Diante desse quadro, o ideal é evitar forçar o braço, imobilizar o melhor possível e buscar atendimento médico com rapidez.
Diagnóstico
O diagnóstico costuma começar pela história do trauma e pelo exame físico.
O médico avalia o padrão da dor, observa o inchaço, examina a mobilidade e verifica se há deformidade visível na região do cotovelo.
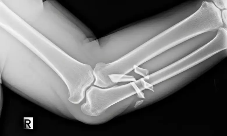
Na prática, o exame que costuma esclarecer o diagnóstico é o raio X, pois permite enxergar a linha da fratura, o posicionamento dos fragmentos e o quanto eles saíram do lugar.
Quando a quebra é mais complexa, o ortopedista pode pedir uma tomografia para enxergar melhor os detalhes da lesão e organizar o planejamento da cirurgia.
Tratamento
Nem toda fratura exige cirurgia. Quando o osso quebra sem deslocamento significativo, e os fragmentos se mantêm alinhados, é possível tratar de forma conservadora, com imobilização e reabilitação.
O protocolo mais comum envolve:
- Imobilização do cotovelo por algumas semanas, com tala ou gesso.
- Controle da dor com medicamentos e gelo local.
- Início gradual da fisioterapia após o período de imobilização.
A ideia é dar tempo para o osso consolidar e, na sequência, trabalhar o movimento e a força de modo progressivo, evitando rigidez.
Mesmo no tratamento não cirúrgico, o acompanhamento é fundamental para ajustar o tempo de imobilização e checar se a fratura está cicatrizando como esperado.
Quando a cirurgia é indicada
Quando a fratura do olécrano apresenta desvio e compromete a região de cartilagem do cotovelo, na maior parte das vezes o tratamento passa por cirurgia.
Na cirurgia, o objetivo principal é:
- Reposicionar os fragmentos do olécrano.
- Estabilizar a fratura com placas, parafusos ou fios metálicos.
- Restaurar a anatomia da articulação o mais próximo possível do normal.
Depois que o osso é fixado, o cotovelo passa por um período de proteção, muitas vezes com tipoia ou outro tipo de imobilização, e logo na sequência começam os exercícios orientados.
Um dos cuidados mais importantes nessa fase é achar o ponto certo entre resguardar a fratura e não deixar o cotovelo perder a mobilidade.
Complicações e sequelas mais comuns
Mesmo com um bom tratamento, as fraturas que envolvem o cotovelo têm uma taxa relativamente alta de complicações. Veja as mais frequentes:
- Rigidez articular, com perda de alguns graus de flexão ou extensão.
- Dor crônica na região do cotovelo ao esforço.
- Artrose da articulação, quando a cartilagem foi muito danificada no trauma.
- Necessidade de nova cirurgia para retirada de material de síntese em casos selecionados.
Papel da reabilitação após a fratura
A reabilitação é peça central depois de uma fratura do olécrano, seja o tratamento conservador ou cirúrgico.
É durante essa fase que o cotovelo volta a ganhar mobilidade e a musculatura recupera força para sustentar o movimento sem sobrecarga.
Entre os objetivos da fisioterapia, destaco:
- Reduzir dor e inchaço.
- Recuperar a amplitude de movimento do cotovelo.
- Fortalecer tríceps, músculos do antebraço e ombro.
- Melhorar coordenação e função do membro superior nas atividades diárias.
O trabalho precisa ser progressivo e individualizado, ajustando intensidade e volume conforme a consolidação óssea e a resposta clínica do paciente.
Qualquer trauma no cotovelo com dor intensa, deformidade, dificuldade de mexer o braço ou inchaço importante merece avaliação com ortopedista especialista.
Quanto mais cedo o problema é diagnosticado, maiores as chances de alinhar bem a fratura, reduzir sequelas e retomar a função do cotovelo com qualidade.



