Ombro Deslocado Precisa De Cirurgia?
Descubra quando o ombro deslocado precisa de cirurgia, como é o tratamento e o que define a melhor conduta médica.
A dúvida se um ombro deslocado precisa de cirurgia aparece com frequência no consultório, principalmente após o primeiro episódio de luxação.
A resposta não é única, pois depende do tipo de luxação, do perfil do paciente, das lesões associadas e do risco de novas ocorrências.
O deslocamento do ombro ocorre quando a cabeça do úmero perde o contato com a glenoide. Como essa é a articulação mais móvel do corpo, também se torna uma das mais instáveis.
Entender quando operar evita dor crônica, novas luxações e perda funcional.
O que é a luxação do ombro
A luxação do ombro pode acontecer após quedas, acidentes esportivos ou traumas diretos.
Em alguns pacientes, surge mesmo sem impacto relevante, relacionada à frouxidão ligamentar. A forma mais comum é a luxação anterior, embora existam luxações posteriores e inferiores.
No momento da lesão, a dor costuma ser intensa, acompanhada de deformidade visível, limitação importante do movimento e sensação clara de que o ombro saiu do lugar.
Quando o deslocamento no não precisa de cirurgia
Nem todo ombro deslocado exige tratamento cirúrgico.
Em casos isolados, sem lesões ligamentares extensas, sem defeitos ósseos e em pacientes com menor demanda física, o tratamento conservador pode funcionar.
A abordagem envolve redução da luxação, uso temporário de tipoia, controle da dor e reabilitação com fisioterapia focada em fortalecimento e controle muscular.
Em pacientes mais velhos ou sem prática esportiva intensa, essa terapêutica pode ser suficiente.
Quando o ombro deslocado precisa de cirurgia
A cirurgia passa a ser indicada quando há recorrência das luxações ou risco elevado de novos episódios.
Pacientes jovens, atletas e pessoas com alta exigência funcional apresentam taxas altas de recidiva quando tratados apenas com fisioterapia.
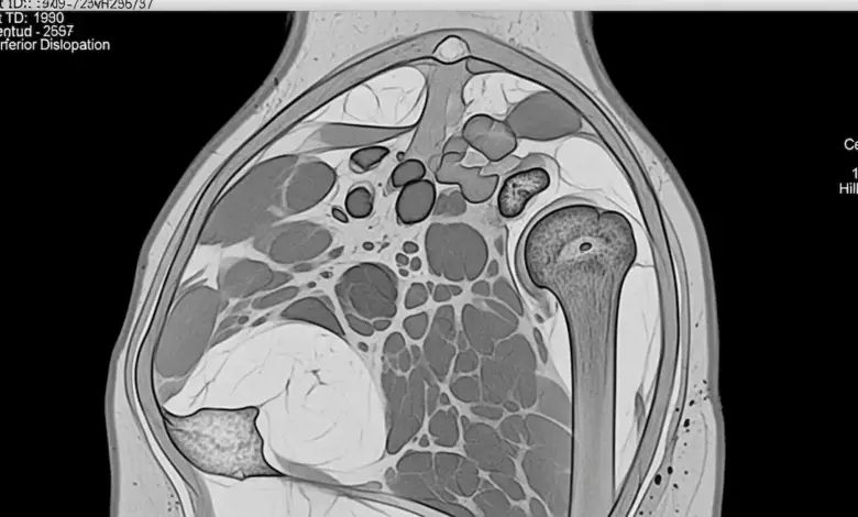
Lesões como Bankart, Hill-Sachs significativa, falha ligamentar ou desgaste ósseo da glenoide aumentam a instabilidade. Nesses cenários, operar reduz drasticamente a chance de o ombro voltar a sair do lugar.
Nesses casos, consultar um especialista em ombro e cotovelo traz mais clareza sobre o problema e ajuda a definir a conduta correta com base em exames e no perfil do paciente.
Exames que definem a necessidade de cirurgia
O planejamento cirúrgico depende de avaliação clínica detalhada e exames de imagem.
- A ressonância magnética identifica lesões labrais, capsulares e tendíneas.
- A tomografia é solicitada quando há suspeita de defeitos ósseos relevantes.
Essas informações permitem escolher a técnica adequada e prever o risco de falha do tratamento conservador.
Como é a cirurgia
Na maior parte das situações, a cirurgia é realizada por artroscopia. É uma abordagem minimamente invasiva, com pequenas incisões, uso de câmera e instrumentos próprios.
No ato cirúrgico, os ligamentos são fixados novamente ao osso com auxílio de âncoras. Esse método devolve a estabilidade da articulação e apresenta taxa de sucesso acima de 90% quando bem indicado.
Em situações com grande perda óssea, procedimentos como o Latarjet podem ser necessários, utilizando enxerto ósseo para ampliar a superfície articular e impedir novas luxações.
Pós-operatório e tempo de recuperação
Após o procedimento, o braço fica imobilizado por aproximadamente quatro semanas. Esse período é importante para proteger a reparação realizada.
A fisioterapia começa de forma gradual. O foco inicial é recuperar a mobilidade e melhorar o controle muscular, respeitando o tempo de cicatrização.
O fortalecimento normalmente começa após oito semanas. Atividades esportivas com uso intenso dos membros superiores são liberadas em torno de cinco a seis meses, respeitando a evolução individual.
FAQs
Todo ombro deslocado precisa de cirurgia?
Não. Casos isolados e sem lesões importantes podem evoluir bem sem cirurgia.
Quantas luxações indicam cirurgia?
Dois ou mais episódios aumentam bastante a indicação cirúrgica.
Jovens têm mais chance de precisar operar?
Sim. A taxa de recidiva é mais alta em pacientes jovens e atletas.
A artroscopia resolve definitivamente?
Na maioria dos casos, sim, desde que bem indicada e com reabilitação adequada.
Quem define o melhor tratamento?
A decisão deve ser feita após avaliação médica especializada e análise dos exames.



