Ruptura do tendão distal do tríceps: sintomas e tratamento
Descubra o que é ruptura distal do tríceps, sinais de alerta e como tratar.
A ruptura do tendão distal do tríceps é rara, mas pode comprometer bastante a função do cotovelo. Esse tendão fixa o músculo tríceps no olécrano, a proeminência óssea na ponta do cotovelo.
Quando ocorre a ruptura, a força para estender o braço diminui. Isso atrapalha empurrar, levantar objetos, sustentar o peso do corpo e treinar com segurança.
Entenda a lesão do tríceps distal
O tríceps fica na parte posterior do braço e é o principal músculo responsável por estender o cotovelo. O termo “distal” indica a porção mais próxima do cotovelo.
A ruptura distal costuma ocorrer perto do ponto onde o tendão se fixa no olécrano. É nessa região que a carga aumenta em movimentos de empurrar, apoiar o corpo e “travar” o braço.
Na prática, o quadro aparece quando o tríceps contrai com muita força ao mesmo tempo em que o cotovelo é empurrado para a flexão.
Isso pode acontecer numa queda com a mão no chão, ao sustentar o próprio peso ou durante um movimento explosivo no treino.
Quais são as causas das lesões do tríceps distal?
As causas mais comuns envolvem trauma e sobrecarga. Um cenário típico é a queda com o braço estendido, com o tríceps tentando “segurar” o movimento e falhando na fixação do tendão.
Outro cenário é o esforço súbito com carga alta, comum em musculação, cross training e esportes de contato.
Existem fatores que aumentam o risco por fragilizar o tendão ou alterar a qualidade do tecido, como:
- Uso de esteroides anabolizantes.
- Infiltrações locais repetidas com corticosteroide.
- Algumas doenças sistêmicas (como diabetes e doenças reumatológicas).
- Histórico de tendinopatia do tríceps.
Quais são os sintomas?
O sintoma mais comum é dor na parte posterior do cotovelo, muitas vezes associada à sensação de estalo no momento do trauma.
Entre outros sintomas, destacamos:
- Inchaço e hematoma podem aparecer nas primeiras horas ou no dia seguinte.
- A perda de força para estender o cotovelo contra resistência, em especial quando a pessoa não consegue empurrar ou sustentar o braço com segurança.
Em rupturas completas, pode existir uma depressão palpável acima do olécrano e uma alteração no contorno do tríceps.
Em lesões parciais, a dor e a fraqueza podem ser menos evidentes, o que leva a atrasos no diagnóstico, mantendo o paciente treinando com limitação e piorando a lesão.
Como é feito o diagnóstico?
O diagnóstico começa no exame clínico. O médico especialista em patologias do ombro avalia o mecanismo da lesão, inspeciona o edema e hematomas, palpa a inserção do tendão e testa força de extensão do cotovelo.
A suspeita de ruptura do tendão distal do tríceps aumenta quando há perda clara de força e dor localizada no olécrano.
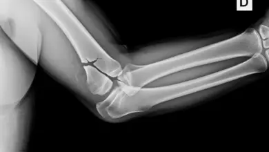
Os exames de imagem ajudam a confirmar e a medir o tamanho da lesão.
- A radiografia pode mostrar um pequeno fragmento ósseo avulsionado no olécrano, sinal indireto de ruptura.
- A ultrassonografia pode identificar descontinuidade tendínea, sendo útil quando bem executada.
- A ressonância magnética costuma ser a melhor para definir se a ruptura é parcial ou completa, a retração do tendão e a qualidade do tecido para planejar o tratamento.
Quais são as opções de tratamento conservador?
O tratamento conservador tende a ser reservado para rupturas parciais pequenas, com boa função preservada, ou para pacientes com baixa demanda de força no dia a dia.
Ele geralmente envolve imobilização temporária do cotovelo, controle de dor e inflamação, seguido por fisioterapia com progressão bem dosada.
A reabilitação costuma focar em recuperar amplitude de movimento, reduzir dor, recondicionar o tríceps e treinar estabilidade do ombro e da escápula. A volta às cargas é gradual, com cuidado redobrado em exercícios de empurrar.
Quando a dor e a fraqueza persistem, ou quando a lesão parcial é extensa, a indicação cirúrgica passa a ser discutida.
Tratamento cirúrgico para ruptura do tendão distal do tríceps
A cirurgia é mais comum nas rupturas completas e nas parciais extensas em pessoas ativas.
O objetivo é reinserir o tendão no olécrano, restaurando o braço de alavanca do tríceps e permitindo recuperação de força.
A técnica pode ser feita com suturas transósseas (por túneis no osso) ou com âncoras, que fixam o tendão ao osso.
A escolha depende do padrão da lesão, qualidade do osso, tecido disponível e preferência técnica do cirurgião.
Em lesões crônicas, quando houve atraso no diagnóstico e o tendão retraiu, pode ser necessário alongar a reconstrução com enxerto para preencher a lacuna e garantir fixação segura, casos que exigem um plano de reabilitação ainda mais cuidadoso.
Como é a recuperação pós-operatória?
No pós-operatório, a proteção da sutura é prioridade. Em muitos protocolos, o cotovelo fica imobilizado por semanas, com liberação progressiva de movimentos leves conforme orientação médica.
Em parte dos casos, exercícios controlados de flexo-extensão podem começar cedo, com amplitude limitada e sem carga, para reduzir a rigidez sem comprometer a cicatrização.
A fisioterapia entra para recuperar a mobilidade, reduzir a dor, melhorar o controle muscular e, mais tarde, reconstruir a força, mas o fortalecimento do tríceps costuma ser adiado até que o tendão tenha cicatrizado com segurança.
O tempo total até o retorno pleno varia conforme o tipo de ruptura, técnica, adesão à reabilitação e demandas do paciente.
- Fase 1: proteção, controle de dor e edema, mobilidade guiada.
- Fase 2: ganho de amplitude e reeducação muscular sem carga no tríceps.
- Fase 3: fortalecimento progressivo e retorno gradual a tarefas de empurrar.
- Fase 4: treino específico e retorno ao esporte ou carga alta.
Resultados, riscos e complicações
Quando o diagnóstico é feito cedo e o tratamento é bem indicado, a maioria dos pacientes retoma boa função do cotovelo e recupera força para atividades do dia a dia e treino.
O resultado depende do tamanho da lesão, tempo até o tratamento, qualidade do tendão e do seguimento do protocolo de reabilitação.
Entre os riscos e complicações possíveis, destacamos:
- Rigidez do cotovelo.
- Dor residual.
- Irritação local por material de fixação.
- Infecção.
- Trombose em casos específicos.
- Falha da reinserção, em especial quando há retorno precoce à carga.
Por isso, respeitar prazos e progressões não é detalhe, é o que protege a sutura e evita retrabalho.
FAQs
Como saber se rompi o tendão distal do tríceps?
Dor posterior no cotovelo após trauma, hematoma e perda de força para estender o braço são sinais comuns. A confirmação vem com exame médico e imagem.
Ruptura parcial do tríceps sempre precisa operar?
Nem sempre. Lesões parciais pequenas podem melhorar com imobilização e fisioterapia. Parciais extensas ou com falha do conservador costumam exigir cirurgia.
Quanto tempo leva para voltar a treinar após a cirurgia?
Varia conforme o caso. Em geral, o retorno gradual começa com mobilidade e, depois, força. Treino pesado costuma ficar para fases mais tardias da reabilitação.
Posso dirigir com lesão no tríceps distal?
Dirigir com dor e fraqueza pode ser inseguro. O ideal é avaliar com seu médico, já que o controle do volante e manobras exigem extensão e estabilidade.
Em Goiânia existe atendimento para essa lesão?
Sim, serviços de ortopedia e cirurgia do cotovelo em Goiânia podem avaliar a suspeita, solicitar exames e orientar tratamento e reabilitação.
Dá para fazer avaliação online?
A triagem online pode ajudar a orientar o próximo passo, mas o exame físico e a imagem costumam ser necessários para confirmar e definir conduta.



