Prótese no ombro ou artroscopia no ombro: qual escolher
Entenda o que muda na indicação e na recuperação entre prótese no ombro ou artroscopia no ombro.
Quando a dor no ombro trava o sono, limita levantar o braço e começa a derrubar força no dia a dia, duas cirurgias entram na conversa: prótese e artroscopia.
As duas podem melhorar a função e reduzir dor, só que atuam em problemas diferentes.
A decisão não é “qual é melhor”, mas “escolher entre prótese no ombro ou artroscopia no ombro para seu caso com mais previsibilidade”.
O que é uma prótese de ombro e quando ela é indicada
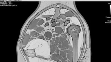
Prótese de ombro (artroplastia) é a substituição parcial ou total da articulação por componentes artificiais.
O objetivo é simples: tirar o atrito doloroso, devolver movimento e permitir uma rotina funcional com menos limitação.
As indicações mais comuns são:
- Artrose glenoumeral avançada.
- Fraturas complexas em que reconstruir não entrega estabilidade.
- Necrose da cabeça do úmero.
- Artropatia do manguito rotador (quando a lesão é antiga, extensa e não tem reparo confiável).
Também pode ser indicada após cirurgias anteriores que falharam e deixaram dor e perda de função.
Como funciona a cirurgia de artroscopia no ombro e quais lesões ela trata
Artroscopia é uma cirurgia minimamente invasiva, feita com pequenas incisões para entrada de uma câmera e instrumentos.
O cirurgião trata a lesão olhando o interior da articulação em tempo real. Em geral, a agressão aos tecidos é menor do que na cirurgia aberta, o que costuma reduzir dor inicial e facilitar o controle do inchaço.
Ela é muito usada para:
- Reparar lesões do manguito rotador.
- Corrigir lesões do labrum.
- Tratar instabilidade e luxações de repetição.
- Abordar impacto subacromial.
- Tratar lesões do tendão do bíceps.
- Retirar tecido inflamado.
- Soltar capsulite adesiva em casos selecionados.
Prótese no ombro ou artroscopia no ombro: o que recupera mais rápido
O que mais confunde é que “menos invasivo” não garante “volta mais rápida”. Em muitos casos, a prótese alivia a dor de desgaste de forma imediata porque remove o atrito do osso com osso.
Já a artroscopia frequentemente depende de cicatrização biológica, por exemplo, tendão reinserindo no osso, e isso pede proteção.
- Após prótese: muitas pessoas voltam a usar a mão para tarefas leves (celular, alimentação, higiene) em poucos dias, com tipoia por proteção e fisioterapia guiada. O ganho de movimento costuma ser progressivo nas primeiras semanas, com foco em mobilidade e controle da escápula.
- Após artroscopia com reparo de tendão: o ombro precisa de tipoia por semanas (frequentemente 4 a 6, variando pelo tamanho do reparo). O início é mais protegido. Fortalecimento pesado entra mais tarde, muitas vezes após 10 a 12 semanas, com progressão gradual.
- Após artroscopia “sem reparo” (procedimentos mais simples, como limpeza, bursas, algumas liberações): a volta costuma ser mais rápida.
Esporte e treino com carga não dependem só de dor. Dependem de controle, mobilidade, força, resistência e confiança.
Para a maioria, o retorno consistente a treino completo leva alguns meses, variando com a lesão, a técnica e a disciplina na reabilitação.
Qual será a melhor opção para o meu caso
A resposta é com base em três perguntas objetivas:
- Qual é o problema principal: desgaste articular avançado, fratura complexa e artropatia do manguito puxam para prótese. Lesão do manguito reparável, instabilidade, lesão do labrum e impacto subacromial indicam artroscopia.
- O que os exames mostram: radiografia ajuda a entender artrose e deformidades, ressonância avalia tendões, labrum e músculo. Em alguns casos, tomografia é decisiva para planejar a prótese.
- Qual é sua meta funcional: profissão, esporte, rotina doméstica, idade biológica e expectativas entram no plano. O objetivo é alinhar resultado possível com o que você precisa no dia a dia.
Uma conversa franca com especialista em cirurgias no ombro resolve mais do que comparação de “qual dói menos”.
Com diagnóstico preciso, é possível escolher o procedimento com melhor chance de entregar um ombro estável, móvel e com dor controlada.
FAQs
Prótese de ombro é indicada para qualquer artrose
Não. Ela costuma ser reservada para artrose moderada a avançada com dor persistente e perda de função, após falha do tratamento conservador, ou quando a deformidade já limita o resultado de outras opções.
Artroscopia resolve artrose avançada do ombro
Em geral, não resolve. Pode aliviar sintomas em casos selecionados e iniciais, mas artrose avançada tende a responder melhor a cirurgia de substituição articular, quando bem indicada.
Quanto tempo de tipoia após artroscopia
Depende do que foi feito. Reparos de tendão costumam exigir semanas de proteção. Procedimentos sem reparo podem liberar mais cedo. O tempo correto vem do tipo de lesão e do tamanho do reparo.
Dirigir depois de cirurgia no ombro é rápido
Não é imediato. Precisa segurança para controlar o volante, trocar marchas e reagir a imprevistos. O prazo muda por dor, tipoia e ganho de mobilidade, e deve ser liberado pelo cirurgião.
Prótese reversa é só para idosos
É mais comum em pacientes com manguito irreparável e artropatia, o que aumenta com a idade. Mesmo assim, a indicação é técnica, baseada em função do manguito e padrão de desgaste, não só na idade do documento.
Quando procurar segunda opinião
Quando a indicação não ficou clara, quando existem opções diferentes apresentadas, ou quando você não entende o plano de reabilitação e as limitações nas primeiras semanas.



