Ruptura parcial do manguito rotador: guia completo
Descubra o que pode causar a ruptura parcial do manguito rotador, sinais de alerta e tratamentos disponíveis.
A ruptura parcial do manguito rotador é quando apenas parte das fibras dos tendões do ombro se machuca, sem romper por completo.
Pode doer, travar os movimentos e atrapalhar tarefas simples, como vestir uma camisa ou alcançar algo no alto.
Neste guia, você vai ver como reconhecer os sinais, confirmar o diagnóstico e escolher o tratamento certo para recuperar a função com segurança.
O que é a ruptura parcial do manguito rotador
O manguito rotador é formado pelos tendões do supraespinhal, infraespinhal, subescapular e redondo menor.
Na ruptura parcial, parte das fibras se rompe, porém, o tendão mantém continuidade, sem um furo completo.
A lesão pode atingir a face bursal, a face articular ou a substância do tendão, com profundidades diferentes.
Costumamos classificar a ruptura parcial pela espessura comprometida: menos de 25%, entre 25 e 50%, ou mais de 50%. Quanto maior a profundidade, maior o risco de sintomas persistentes e progressão.
Causas mais comuns
Duas vias explicam a ruptura parcial do manguito rotador: trauma e degeneração. Quedas sobre o braço, puxões bruscos e esforços acima da cabeça podem romper fibras.
Já o desgaste natural reduz a irrigação do tendão e altera o colágeno, o que favorece o aparecimento de fissuras com o passar dos anos.
Fatores de risco
- Trabalhos e esportes com movimentos repetidos acima da cabeça.
- Técnica inadequada em musculação.
- Conflitos subacromiais.
- Tabagismo.
- Controle ruim de dor cervical ou torácica que altere a mecânica escapular, além de histórico familiar.
Sinais e sintomas
Entre os principais sintomas associados à ruptura parcial do manguito rotador, destaco:
- Dor no lado lateral do ombro que piora ao elevar o braço.
- Fraqueza para alcançar prateleiras.
- Desconforto noturno ao deitar sobre o lado afetado.
- Estalos mecânicos.
- Perda de resistência em rotações.
Em lesões superficiais, a força pode estar preservada, porém, a dor limita o gesto esportivo e o trabalho manual.
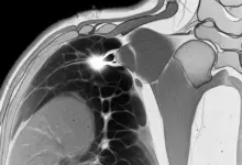
Como é feito o diagnóstico
O diagnóstico é clínico e por imagem. No exame físico, avaliam-se mobilidade, testes de impacto, força seletiva de cada tendão e ritmo escápulo-umeral.
Já os exames de imagem são solicitados para confirmar o diagnóstico:
- Radiografias excluem artrose e alterações ósseas.
- A ressonância magnética detalha a localização e profundidade da ruptura parcial do manguito rotador e identifica edema, bursite e qualidade muscular.
- O ultrassom é útil no seguimento e em serviços experientes.
Tratamento conservador passo a passo
Grande parte dos pacientes melhora com tratamento não cirúrgico bem conduzido. O plano deve ser personalizado, considerando idade, demanda funcional e profundidade da lesão.
Controle da dor e inflamação
- Ajuste de atividades.
- Gelo por períodos curtos.
- Analgésicos e anti-inflamatórios quando indicados.
Em casos selecionados, pode-se usar infiltração guiada para aliviar a bursite e permitir o avanço da reabilitação.
Reabilitação
- Alongamentos suaves da cápsula posterior e peitorais.
- Treino de controle escapular.
- Fortalecimento progressivo de rotadores externos e do subescapular.
- Cadeia cinética fechada no início e aberta na fase intermediária, com retorno gradual ao gesto esportivo.
A técnica prioriza a qualidade do movimento e não apenas carga.
Moduladores biológicos
Em casos bem selecionados, ácido hialurônico intra-bursal, PRP ou aspirado de medula podem ser considerados como adjuvantes para dor e cicatrização, sempre com indicação criteriosa e técnica adequada.
Quando pensar em cirurgia
Indica-se a cirurgia nos seguintes casos:
- Dor que persiste após reabilitação estruturada por tempo adequado.
- Há perda funcional relevante.
- Rupturas parciais profundas com mais de 50% da espessura.
- Em pacientes jovens e muito ativos que exigem alta demanda do ombro.
As opções artroscópicas incluem desbridamento com regularização para rupturas superficiais, ou conversão e sutura do tendão nas profundas.
A decisão considera a qualidade tecidual, localização da fissura e expectativas do paciente.
Pós-operatório e tempo de recuperação
Após a sutura, usa-se tipoia por algumas semanas, com mobilidade passiva guiada e progressão para ativa conforme cicatrização.
O fortalecimento inicia na fase segura, seguido de treino funcional.
Já o retorno ao trabalho leve costuma ocorrer entre 4 e 8 semanas, e ao esporte entre 3 e 6 meses, de acordo com a técnica, adesão e resposta individual.
Prevenção de novas lesões
Para reduzir o risco de novas lesões, oriento meus pacientes a:
- Distribuir os treinos de empurrar e puxar.
- Respeitar os intervalos de descanso.
- Ajustar cargas acima da cabeça.
- Corrigir a técnica de levantamento e arremesso.
- Fortalecer rotadores e estabilizadores escapulares.
- Cuidar da mobilidade torácica e cervical.
- Manter controle do sono e do estresse.
Caso você queira mais orientações ou tiver com alguma dúvida, agende uma consulta para avaliar de perto seu quadro e pensarmos na melhor estratégia.
FAQs
Ruptura parcial do manguito rotador precisa sempre de cirurgia?
Não. Muitos casos melhoram com fisioterapia estruturada, controle de dor e ajuste de atividades. Cirurgia é reservada para falha do tratamento clínico ou rupturas profundas.
Quanto tempo leva para voltar a treinar ombro?
Em tratamento conservador, o retorno parcial pode ocorrer em 6 a 8 semanas. Após sutura, o retorno completo pode levar de 3 a 6 meses, conforme resposta individual.
A ruptura parcial do manguito rotador pode virar total?
Pode, sobretudo em fissuras profundas e com sobrecarga mantida. Acompanhamento clínico e por imagem reduz esse risco, pois permite intervir no momento certo.
Qual exame confirma a lesão?
A ressonância magnética detalha a localização e a profundidade da ruptura parcial do manguito rotador. O ultrassom também ajuda no seguimento quando realizado por profissional experiente.
Posso treinar musculação com ruptura parcial?
Pode, com orientação. Evite cargas altas acima da cabeça no início, priorize controle escapular e fortalecimento de rotadores. A progressão é gradual e sem dor.



