Artrose glenomeural inicial: guia para reconhecer e tratar
Aprenda os sinais de alerta de artrose glenomeural inicial e como tratar para aliviar a dor.
A artrose glenomeural inicial é o desgaste precoce da cartilagem do ombro, e identificar os sinais nos primeiros estágios ajuda a controlar a dor, preservar a mobilidade e adiar intervenções maiores.
Este guia reúne sintomas, causas, exames e tratamentos para quem suspeita de artrose glenomeural inicial e busca decisões seguras.
O que é artrose glenomeural inicial
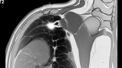
A articulação glenoumeral conecta a cabeça do úmero à cavidade da escápula.
Na artrose glenomeural inicial, a cartilagem que recobre essas superfícies começa a perder qualidade, o que aumenta o atrito, inflamação e dor.
O quadro pode avançar devagar, com períodos de melhora e piora, e costuma impactar tarefas simples como pentear o cabelo, vestir uma camiseta e apoiar o braço ao dormir.
Quem tem mais risco
A artrose glenomeural inicial aparece com mais frequência a partir dos 45 a 60 anos, porém, pode surgir antes quando existem fatores que aceleram o desgaste, como:
- Instabilidade do ombro.
- Histórico de luxação.
- Fraturas prévias.
- Lesões do manguito rotador.
- Sobrecarga por trabalho acima da cabeça.
- Predisposição familiar.
Em alguns casos, doenças inflamatórias e osteonecrose também antecipam o início do processo.
Sinais e sintomas que pedem atenção
Os sintomas da artrose glenomeural inicial tendem a começar discretos e aumentar com o uso do braço. Observe:
- Dor profunda no ombro, pior ao erguer o braço ou ao alcançar objetos.
- Rigidez matinal com melhora após aquecer a articulação.
- Estalos e sensação de areia ao movimentar.
- Queda de força para girar ou elevar o braço.
- Dor noturna ao deitar sobre o lado afetado.
É comum a dor aparecer após esforço e, com o tempo, surgir até em tarefas leves. Quanto mais cedo o controle, maior a chance de preservar a amplitude e função.
Como confirmar o diagnóstico
A avaliação clínica verifica o padrão da dor, limitações e testes de impacto.
Geralmente solicito exames de imagem para confirmar o diagnóstico:
- Radiografias mostram a redução do espaço articular e osteófitos em fases progressivas.
- Ressonância magnética ajuda a avaliar a cartilagem, osso subcondral e tendões, além de descartar outras causas de dor como lesões do manguito rotador ou conflito subacromial.
Tratamento na fase inicial
O foco é aliviar a dor, reduzir a inflamação, proteger a cartilagem e recuperar mobilidade. O plano costuma combinar orientações, fisioterapia e, quando indicado, terapias injetáveis.
- Educação e ajustes de rotina: reduzir movimentos repetitivos acima da cabeça, distribuir carga nas tarefas, pausas ativas e sono com apoio adequado do braço.
- Controle da dor: analgésicos e anti-inflamatórios por curto período, sob prescrição.
- Fisioterapia: mobilizações suaves, ganho gradual de amplitude, fortalecimento do manguito e estabilizadores da escápula, treino de postura e de ritmo escapuloumeral.
- Exercícios domiciliares: elásticos leves, bastão para mobilidade, rotações externas e exercícios isométricos sem dor.
- Infiltrações: corticoide intra-articular para crises com sinovite importante e ácido hialurônico para lubrificação e melhora mecânica.
- Perda de peso e condicionamento: melhora inflamatória sistêmica, ajudando no controle da dor.
Em parte dos casos, a artrose glenomeural inicial responde bem ao protocolo conservador.
Quando a dor persiste e limita a função, discutem-se opções como artroscopia para tratar lesões associadas, regularizar bordas cartilaginosas e remover corpos livres.
Próteses ficam reservadas para estágios avançados com falha das medidas anteriores.
Quando procurar avaliação rápida
Caso você note algum dos sintomas listados abaixo, agende uma consulta para avaliar detalhadamente a sua condição e evitar piora estrutural:
- Dor noturna intensa.
- Perda repentina de força.
- Travamento articular.
- Histórico de trauma recente.
- Suspeita de instabilidade.
FAQs
Quais os primeiros sinais de artrose glenomeural inicial?
Dor ao elevar o braço, rigidez matinal, estalos e desconforto ao deitar sobre o ombro. A perda de força em rotações também é frequente.
A artrose glenomeural inicial sempre piora?
O ritmo de evolução varia. Com controle de carga, fisioterapia e infiltrações selecionadas é possível estabilizar sintomas e adiar a progressão.
Infiltração com ácido hialurônico ajuda?
Pode reduzir dor e atrito, melhorando a mecânica articular. A indicação depende do perfil do paciente e do achado nos exames.
Qual a diferença entre artrose AC e glenomeural?
A AC tem movimento curto e desgaste precoce muitas vezes pouco sintomático. A glenomeural é a principal do ombro e impacta elevação e rotação.
Posso usar gelo ou calor?
Gelo ajuda nas crises dolorosas. Calor leve antes de mobilidade facilita o ganho de amplitude. Ajuste conforme resposta individual.



